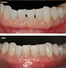
periodondontitis Periodontal Care in San Antonio, TX Dr. Precious Thomson. Thousand Oaks Dental. General, Cosmetic, Restorative, Preventative, Pediatric, Family Dentistry. Dentist in San Antonio Texas 78232

overview

periodondontitis Periodontal Care in San Antonio, TX Dr. Precious Thomson. Thousand Oaks Dental. General, Cosmetic, Restorative, Preventative, Pediatric, Family Dentistry. Dentist in San Antonio Texas 78232

Periodontal Care in San Antonio, TX Dr. Precious Thomson. Thousand Oaks Dental. General, Cosmetic, Restorative, Preventative, Pediatric, Family Dentistry. Dentist in San Antonio Texas 78232

Why our patients love Thousand Oaks Dental

We have Over 700 Five Star Reviews